Cabinet dentaire d'omnipratique, d'implantologie et de dentisterie pédiatrique
Chirurgiens-dentistes : Dr Carole Azria, Dr Marie Zago et Dr David Gargir
3 Rue Baudelaire, 31520 RAMONVILLE SAINT-AGNE
+33 5 61 40 44 68
Cabinet dentaire d'omnipratique, d'implantologie et de dentisterie pédiatrique
Chirurgiens-dentistes : Dr Carole Azria, Dr Marie Zago et Dr David Gargir

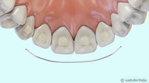
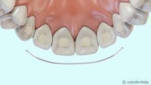
Fil de contention


video-play-icon

Création par Webdentiste

Connexion